implante dental
Pasos para el proceso de
IMPLANTE DENTAL

1.- Evaluación y Planificación
Radiografías/escáner 3D para ver hueso y definir el tratamiento.

2.- Colocación del Implante
Se inserta el tornillo en el hueso bajo anestesia.

3.- Cicatrización
El hueso se integra con el implante (8-12 semanas).

4.- Colocación de la Corona
Se coloca el diente definitivo, igual a uno natural.
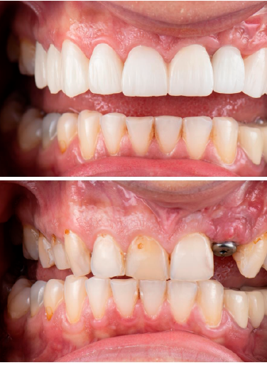
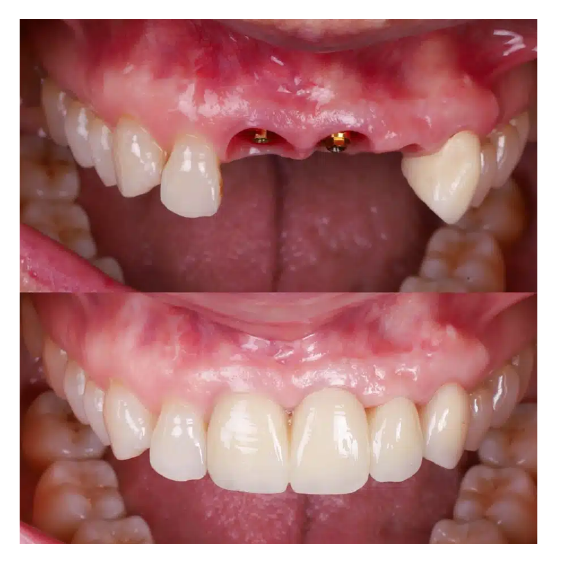
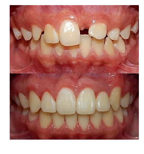
Nuestros casos de éxito
TIENES 3
BENEFICIOS
- Reemplaza dientes perdidos de forma natural y estética.
- Mejora la función al masticar y hablar.
- Ofrece estabilidad y durabilidad a largo plazo.
Aceptamos todas las tarjetas de crédito